Skip to content Skip to sidebar Skip to footer

Gelbe Punkte Im Rachen

Gelber Punkt Im Hals Oder Rachen Rachen

Gelber Punkt Im Hals Oder Rachen Rachen

Gelbe punkte im rachen. Wenn Sie Bläschen im Rachen. Ausserdem sind die an den mandeln eher punkte nämlich um einiges grösser als deine pünktchen. Zuweilen kann weißer Belag im Mund unangenehm sein weil er von Bakterien gebildet wird die Mundgeruch hervorrufen können.

Von ihr sind vor allem Jugendliche betroffen. Die Punkte stehen für 5 der vorhergehenden Reihe beispielsweise der folgende Punkt die Zahl 3 auf 35 darstellen. Ich habe folgendes Problem.

Im Allgemeinen kann davon ausgegangen werden dass bei auffälligen roten Flecken im Rachen immer ein Facharzt aufgesucht werden sollte. Herpangina oder Angina herpetica ist eine virusbedingte Gaumenmandelentzündung. Bläschen im Rachen richtig erkennen Wenn Sie den Mund weit öffnen und eine Lichtquelle zu Hilfe nehmen zum Beispiel die Taschenlampenfunktion Ihres Handys können Sie Bläschen im Rachen oft selber erkennen.

Softclix Lancet Gerätebeschreibung. Von der Angina Plaut-Vincent sind nur Erwachsene betroffen. Einleitung Rote Flecken im Rachenkönnen eine Vielzahl von Ursachen haben.

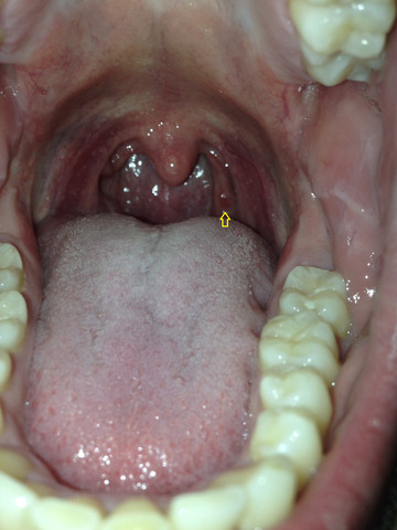
Gelbe Pünktchen im Rachenraum. Sie sind wenige Millimeter groß von meist fester oder krümeliger Konsistenz und können Mundgeruch verursachen. Im rachen gelbe punkte.

Ansonsten sind Mandelsteine harmlos nur selten führen größere Exemplare zu weiteren Beschwerden. Pickel im Rachen sind in der Regel ein Zeichen der Irritation. Mandelsteine Tonsillensteine sind weiß-gelbliche Gebilde die aus verschiedenen Substanzen in den Gaumenmandeln entstehen.

Ihr äußeres Erscheinungsbild einschließlich der Farbe hilft deinem Arzt die zugrunde liegende Ursache zu erkennen. Die Mandeln sind nur schwach gerötet und leicht geschwollen anfangs ist die Rachen- und Gaumenschleimhaut von weißlich-gelben Bläschen übersät.

Gelbe Flecken Im Rachen Halsschmerzen

Gelbe Flecken Im Rachen Halsschmerzen

Was Sind Das Fur Gelbe Punkte Im Hals Rachen Gesundheit Entzundung Halsschmerzen

Was Sind Das Fur Gelbe Punkte Im Hals Rachen Gesundheit Entzundung Halsschmerzen

Gaumenschmerzen Ursachen Und Therapie Heilpraxis

Gaumenschmerzen Ursachen Und Therapie Heilpraxis

Erkrankungen Der Mundhohle Und Des Rachens Oropharynx

Erkrankungen Der Mundhohle Und Des Rachens Oropharynx

Gelbe Flecken An Der Rachenwand Gesundheit Und Medizin Gelb Rachen

Gelbe Flecken An Der Rachenwand Gesundheit Und Medizin Gelb Rachen

Helle Flecken Im Hals Rachen Gesundheit Krankheit Mund

Helle Flecken Im Hals Rachen Gesundheit Krankheit Mund

Komische Punkte Im Rachen Gesundheit Und Medizin Mundgeruch

Komische Punkte Im Rachen Gesundheit Und Medizin Mundgeruch

Was Ist Dieser Komische Weisse Punkt Im Rachen Und Wie Geht Der Weg Gesundheit Arzt Angst

Was Ist Dieser Komische Weisse Punkt Im Rachen Und Wie Geht Der Weg Gesundheit Arzt Angst

Was Ist Das Fur Ein Roter Punkt Im Rachen Medizin Arzt Hals

Was Ist Das Fur Ein Roter Punkt Im Rachen Medizin Arzt Hals

Mandelsteine Ursache Behandlung Risiken Mooci

Mandelsteine Ursache Behandlung Risiken Mooci

Weisser Fleck Im Rachen Schmerzen Weisser Fleck

Weisser Fleck Im Rachen Schmerzen Weisser Fleck

Mandelsteine Hno Praxis Dr Weinzierl

Mandelsteine Hno Praxis Dr Weinzierl

Stomatitis Mundfaule Ursachen Symptome Behandlung

Stomatitis Mundfaule Ursachen Symptome Behandlung

Mandelsteine Entfernen Und Vorbeugen

Mandelsteine Entfernen Und Vorbeugen

Weisser Punkt Im Rachen Rechts Gesundheit Und Medizin Gesundheit Rauchen

Weisser Punkt Im Rachen Rechts Gesundheit Und Medizin Gesundheit Rauchen

Tonsillenstein Wikipedia

Tonsillenstein Wikipedia

Erkrankungen Mit Beteiligung Der Mundschleimhaut Bei Kindern Teil 1 Zwp Online Das Nachrichtenportal Fur Die Dentalbranche

Erkrankungen Mit Beteiligung Der Mundschleimhaut Bei Kindern Teil 1 Zwp Online Das Nachrichtenportal Fur Die Dentalbranche

Pilz Im Rachen Gesundheit Und Medizin Gesundheit Arzt

Pilz Im Rachen Gesundheit Und Medizin Gesundheit Arzt

Bedenklich Veranderungen Der Mundschleimhaut Zwp Online Das Nachrichtenportal Fur Die Dentalbranche

Bedenklich Veranderungen Der Mundschleimhaut Zwp Online Das Nachrichtenportal Fur Die Dentalbranche

Weisser Punkt Im Rachen Husten Halsschmerzen

Weisser Punkt Im Rachen Husten Halsschmerzen

Was Ist Das Fur Ein Weisser Punkt Hno Rachen

Was Ist Das Fur Ein Weisser Punkt Hno Rachen

Weiss Gelber Fleck Im Rachen Hilfe Gesundheit Und Medizin Gesundheit

Weiss Gelber Fleck Im Rachen Hilfe Gesundheit Und Medizin Gesundheit

Weisses Ding Im Rachen Gesundheit Und Medizin Gesundheit Arzt

Weisses Ding Im Rachen Gesundheit Und Medizin Gesundheit Arzt

3

3

Tonsillenstein Wikipedia

Tonsillenstein Wikipedia

Erkrankungen Der Mundhohle Und Des Rachens Oropharynx

Erkrankungen Der Mundhohle Und Des Rachens Oropharynx

Blaschen Im Rachen Bild Wer Hatte Das Schon Mal Arzt Krankheit Bilder

Blaschen Im Rachen Bild Wer Hatte Das Schon Mal Arzt Krankheit Bilder

Mundkrankheiten Diese Bilder Helfen Beim Erkennen

Mundkrankheiten Diese Bilder Helfen Beim Erkennen

Mandelsteine Entfernen Vorbeugen So Geht S Gesundheit De

Mandelsteine Entfernen Vorbeugen So Geht S Gesundheit De

Wund Im Mund Es Ist Zum Gluck Nicht Immer Krebs Zwp Online Das Nachrichtenportal Fur Die Dentalbranche

Wund Im Mund Es Ist Zum Gluck Nicht Immer Krebs Zwp Online Das Nachrichtenportal Fur Die Dentalbranche

Ist Das Normal Im Rachen Gesundheit Und Medizin

Ist Das Normal Im Rachen Gesundheit Und Medizin

Punkte Am Rachen Hals

Punkte Am Rachen Hals

Mandelentzundung Beim Kind Symptome Ursachen Und Behandlung

Mandelentzundung Beim Kind Symptome Ursachen Und Behandlung

Rote Flecken Im Rachen Ursachen Verdacht Auf Scharlach

Rote Flecken Im Rachen Ursachen Verdacht Auf Scharlach

Mandelsteine Hno Praxis Dr Weinzierl

Mandelsteine Hno Praxis Dr Weinzierl

Gaumen Die Meistgelesenen Fragen

Gaumen Die Meistgelesenen Fragen

Eiterpickel Im Mund So Werden Sie Behandelt

Eiterpickel Im Mund So Werden Sie Behandelt

Was Ist Das Fur Ein Schwarzer Punkt Bei Mir Im Rachen Und Warum Ist Mein Gaumen Leicht Gelblich Gesundheit Und Medizin Arzt Zahnarzt

Was Ist Das Fur Ein Schwarzer Punkt Bei Mir Im Rachen Und Warum Ist Mein Gaumen Leicht Gelblich Gesundheit Und Medizin Arzt Zahnarzt

Aphthen Schmerzhafte Blaschen Im Mund Proplanta De

Aphthen Schmerzhafte Blaschen Im Mund Proplanta De

Mundkrankheiten Diese Bilder Helfen Beim Erkennen

Mundkrankheiten Diese Bilder Helfen Beim Erkennen

Was Habe Ich Hier Im Rachen Gaumen Rachenraum

Was Habe Ich Hier Im Rachen Gaumen Rachenraum

Soor Candidose Symptome Diagnostik Therapie Gelbe Liste

Soor Candidose Symptome Diagnostik Therapie Gelbe Liste

Zungendiagnose Belag Flecken Risse Co Richtig Deuten Gesundheit De

Zungendiagnose Belag Flecken Risse Co Richtig Deuten Gesundheit De

Gelbe Flecken An Den Mandeln Medizin Hno

Gelbe Flecken An Den Mandeln Medizin Hno

Rote Flecken Auf Der Zunge Ursachen Und Behandlung

Rote Flecken Auf Der Zunge Ursachen Und Behandlung

Blutergusse Und Blutungen Bluterkrankungen Msd Manual Ausgabe Fur Patienten

Blutergusse Und Blutungen Bluterkrankungen Msd Manual Ausgabe Fur Patienten

Mandelsteine Und Jetzt Hno Vahle

Mandelsteine Und Jetzt Hno Vahle

Erkrankungen Der Mundhohle Und Des Rachens Oropharynx

Erkrankungen Der Mundhohle Und Des Rachens Oropharynx

Https Encrypted Tbn0 Gstatic Com Images Q Tbn And9gctcpsta8inz7gz25josbu6sjpgwaftd5xdfolzywkrcb9nfditk Usqp Cau

Https Encrypted Tbn0 Gstatic Com Images Q Tbn And9gctcpsta8inz7gz25josbu6sjpgwaftd5xdfolzywkrcb9nfditk Usqp Cau

Pickel im Rachen sind in der Regel ein Zeichen der Irritation.

Ansonsten sind Mandelsteine harmlos nur selten führen größere Exemplare zu weiteren Beschwerden. Ich habe folgendes Problem. Softclix Lancet Gerätebeschreibung. Pickel im Rachen sind in der Regel ein Zeichen der Irritation. Belag im Rachen ist nichts Gefährliches kann aber Beschwerden verursachen vor allem wenn er zusammen mit Fieber oder Halsschmerzen auftritt. Einleitung Rote Flecken im Rachenkönnen eine Vielzahl von Ursachen haben. Im Allgemeinen kann davon ausgegangen werden dass bei auffälligen roten Flecken im Rachen immer ein Facharzt aufgesucht werden sollte. Viele Ursachen sind nicht schwerwiegend aber einige erfordern einen umgehenden Besuch bei. Die Mandeln sind nur schwach gerötet und leicht geschwollen anfangs ist die Rachen- und Gaumenschleimhaut von weißlich-gelben Bläschen übersät.


Von der Angina Plaut-Vincent sind nur Erwachsene betroffen. Einleitung Rote Flecken im Rachenkönnen eine Vielzahl von Ursachen haben. Ausserdem sind die an den mandeln eher punkte nämlich um einiges grösser als deine pünktchen. Bläschen im Rachen richtig erkennen Wenn Sie den Mund weit öffnen und eine Lichtquelle zu Hilfe nehmen zum Beispiel die Taschenlampenfunktion Ihres Handys können Sie Bläschen im Rachen oft selber erkennen. Im Allgemeinen kann davon ausgegangen werden dass bei auffälligen roten Flecken im Rachen immer ein Facharzt aufgesucht werden sollte. Zuweilen kann weißer Belag im Mund unangenehm sein weil er von Bakterien gebildet wird die Mundgeruch hervorrufen können. Weißer Belag auf den Mandeln ist ein Anzeigen dafür dass sich Eiter gebildet hat.

Post a Comment for "Gelbe Punkte Im Rachen"